
Same-Day Smile Makeover
Are you unhappy with your smile? Do you have crooked, broken, worn or chipped teeth that are affecting your self-confidence?
Same-Day Smile Makeover
Are you unhappy with your smile? Do you have crooked, broken, worn or chipped teeth that are affecting your self-confidence?
Crowns and veneers can often be a great, long-lasting and highly aesthetic solution to these problems. Traditionally, the cosmetic dentistry process would involve having temporary crowns or veneers fitted, while a dental technician made the final set from your teeth impressions. Finally, on a second visit (usually 2 weeks later), you would have the temporary crowns or veneers removed, and then replaced by the final product.
What is a Same Day Smile Makeover?
At Apple Dental, thanks to advances in CAD/CAM technology, you can have new crowns and veneers made on the same day and inserted in a matter of hours. The benefit of the one-day dental restoration is that you can resume your normal activities immediately.
Dr Mark Casiglia has been restoring damaged teeth for over 25 years, helping thousands of Lane Cove locals, as well as patients from interstate – to a new, more confident smile. His reputation as a leader in the same-day cosmetic dentistry has brought him patients from as far as New Zealand.
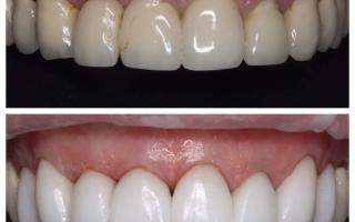
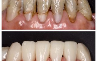
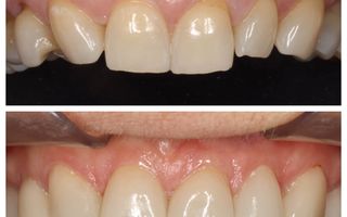
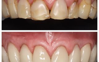
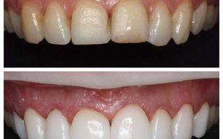
Before and after images






Smile Day Smile Makeover Steps
During an initial consultation, we’ll cover all available options of improving your teeth before deciding on a treatment. Once a Same-Day Smile Makeover has been confirmed as the right option, we will set a date to complete the transformation in five simple steps:
Step 1: On the day of treatment, we start with a discussion on what the patient would like improved, and the outcomes of the procedure. We’ll then simulate (using tooth coloured materials) the sort of shapes and sizes we are aiming for, followed by photographs that allow us to view those changes and make a judgment call on what works, and what doesn’t.
Step 2: Once an agreement is made on the final tactics, we’ll save a digital record in our CEREC unit so that we have something to compare the work to. This scan is then photo-stitched with the final design scan, so we can position our new crowns and veneers exactly where we mocked them up.
Step 3: The process of shaping your teeth now commences, in order to accept the new dental work. We follow this up with a digital scan, and the digital design of the teeth. Using the mock up as a guide, the individual teeth are then developed. Because this design process happens chairside, patients can remain engaged in the progress. Alternatively, if the patient would prefer to sit back and watch some TV, go for a walk, or even go home, they can do so until all their new crowns and veneers are finalised (approximately two hours).
Step 4: The new restorations are then closely examined, and tested to confirm shapes, sizing and positions. Once this has is completed, the new porcelain teeth are then glazed with various tints to closely mimic the aesthetics of natural teeth, and allow for a glossy, glass-like surface.
Step 5: Finally, the crowns and veneers are then bonded into place with a strong adhesive, with an expectation they will last for decades, not years.
How much does a Smile Makeover cost?
The cost of dental restorations can vary significantly per individual – as this depends on the severity of each case. During the consultation, we will walk you through the procedures and potential outcome of the Smile Makeover beforehand, as well as explaining the costs associated with the restorative treatment.
It is difficult to put a set price on a brighter and more confident smile. However, if you wish to seek financial assistance, we offer dental payment plans that can help ease the burden.
Check out our SmileFund payment plan or speak to a member of our friendly team for more information. We will make sure that you are fully aware of all costing, and procedures – before making an informed decision for yourself.

Would you like to see examples of completed restorative or cosmetic dental treatment?
Many of our patients find it helpful to see outcomes of completed treatment from our Apple Dental patients. This information and visual display may help you understand the procedure and the results you can expect.
We invite you to browse our Smile Gallery. The photographs within this section are from actual patients of dentists at Apple Dental.
To find out more about the benefits that Apple Dental could bring your smile, or for information on treatment times and costs, get in touch with Apple Dental (02) 9420 5050.


